流感高发,小心“殃及”眼睛
万物复苏,生机勃勃,这个季节同时也是流行性感冒集中爆发的阶段。除了鼻塞、流涕、咽痛咳嗽等症状外,还要小心病毒“殃及”眼睛。

何先生最近就不慎染上流感,打喷嚏、发烧、咳嗽,吃了退烧药及消炎药还是未见明显好转。
几天后,何先生觉得眼睛不仅发红,还伴随刺痛感、畏光、流泪的症状。本以为是太过劳累,休息一下就好了。没想到,上述症状逐渐加剧,不得已来到之江院区检查才知道是得了病毒性角膜炎。
01
病毒性角膜炎和流感有关吗?
流感病毒传染力很强,通俗来讲,有些人感冒会在嘴角或喉咙里“冲”出水泡,而有些人则会“冲”到眼睛里,“冲”在眼睛上的这种就是病毒性角膜炎。

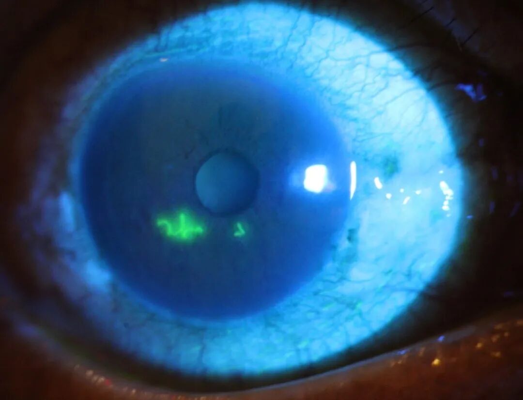
角膜染色呈“树枝样”改变
引发病毒性角膜炎最常见的是单纯疱疹病毒,对人的感染性很强,常常潜伏在三叉神经节上,平时安静,不会引起临床症状,一旦自身免疫力下降,病毒就会出来大量复制,特别是感冒发烧时就会出来“兴风作浪”。
感冒后常常不由自主地去擦鼻涕、用手捂着嘴巴打喷嚏,此时,手中可能沾及大量病菌,导致眼睛受到病毒感染。特别是佩戴隐形眼镜者,在摘、戴过程中易感染角膜。另外,在发烧时,眼局部抵抗力下降,泪液分泌减少,造成细菌大量繁殖,容易引起眼部疾病。
感冒药物也容易使眼病加重,因为许多感冒药物中都含有抑制眼泪的成分。角膜干燥,容易引起角膜炎。
02
如何应对

1
如果只是出现轻度流泪、眼充血、异物感等较轻的症状,一般可自愈,暂时观察为主,或使用人工泪液缓解症状,切勿随意用药;
2
病毒性角膜炎的发病往往与身体免疫状况有关,需进行适度的锻炼,保持充足睡眠、避免劳累过度,饮酒等。增强免疫力是非常重要的;
3
尽量避免戴隐形眼镜、角膜塑形镜等,改用框架眼镜。避免将手上的病毒传染至眼睛;
4
如果出现持续的眼睛红、肿、痛、畏光或视力下降等较严重的临床症状时,一定要及时前往专业的眼科医院就诊。
温馨提醒<<<<<
病毒性角膜炎一年四季均会发病,通常在感冒后复发,其特点主要是反复发作,每次发作视力就会受到相应影响,甚至有些人导致失明。据报道,目前在我国角膜移植患者中,除外伤所致外,因病毒性角膜炎反复发作而造成角膜损害的占比较大。所以,一旦发生病毒性角膜炎,及时就医。

